Sùi mào gà là một trong những bệnh lý truyền qua đường tình dục khá phổ biến, đặc biệt gây ảnh hưởng cho phụ nữ, và khiến nhiều bà mẹ đang trong giai đoạn cho con bú rất lo lắng. Việc “mẹ mắc sùi mào gà có nên tiếp tục cho con bú hay không” thường là nỗi băn khoăn lớn, bởi họ e ngại nguy cơ lây nhiễm sang trẻ. Ở bài viết này, chúng ta sẽ đi sâu tìm hiểu về sùi mào gà ở nữ giới — từ nguyên nhân, dấu hiệu nhận biết, cách điều trị — và trọng tâm là xem xét lời khuyên y khoa liên quan đến việc cho con bú khi đang bị bệnh. Đồng thời, tôi sẽ gợi ý một số địa chỉ đáng tin cậy ở Hà Nội để bạn có thể tham khảo thêm. Nội dung được biên soạn dựa trên các nguồn y tế có uy tín, nhằm hỗ trợ bạn đưa ra quyết định sáng suốt — nhưng không thể thay thế cho chẩn đoán và chỉ định của bác sĩ.
Bệnh Sùi Mào Gà Ở Nữ Giới: Hiểu Đúng Nguyên Nhân Và Dấu Hiệu Nhận Biết
Sùi mào gà, hay còn gọi là mụn cóc sinh dục, là một dạng nhiễm trùng do virus HPV (Human Papillomavirus) gây ra. Đây là nhóm virus có hơn 100 chủng khác nhau, trong đó các type như HPV 6 và 11 thường gây ra mụn sùi lành tính, còn HPV 16, 18 lại có liên quan đến ung thư cổ tử cung – một trong những căn bệnh ung thư phổ biến ở nữ giới.
Bệnh có thể xuất hiện ở cả nam và nữ, nhưng do cấu tạo sinh lý vùng kín của phụ nữ phức tạp hơn, các tổn thương thường dễ lan rộng và gây khó chịu hơn.
Nguyên nhân khiến phụ nữ dễ mắc sùi mào gà
Đường lây truyền chủ yếu của HPV là quan hệ tình dục không an toàn, bao gồm cả đường âm đạo, hậu môn hoặc miệng. Tuy nhiên, virus cũng có thể xâm nhập qua tiếp xúc da với da ở vùng nhiễm bệnh, hoặc lây từ mẹ sang con khi sinh thường nếu người mẹ có tổn thương ở âm đạo.
Những yếu tố làm tăng nguy cơ mắc bệnh ở nữ giới gồm:
-
Hệ miễn dịch yếu (do stress, thiếu ngủ, bệnh mãn tính).
-
Bắt đầu quan hệ tình dục sớm hoặc có nhiều bạn tình.
-
Hút thuốc lá, uống rượu – khiến niêm mạc sinh dục dễ bị tổn thương.
Theo thống kê y học, 8 trên 10 phụ nữ có hoạt động tình dục từng tiếp xúc với HPV ít nhất một lần, nhưng phần lớn không biểu hiện bệnh nhờ hệ miễn dịch tự loại bỏ virus. Chỉ khi cơ thể suy yếu, virus mới bùng phát và hình thành sùi mào gà.

[Tôi chưa có thời gian đi khám, cần tư vấn online]
Dấu hiệu nhận biết sùi mào gà ở nữ giới
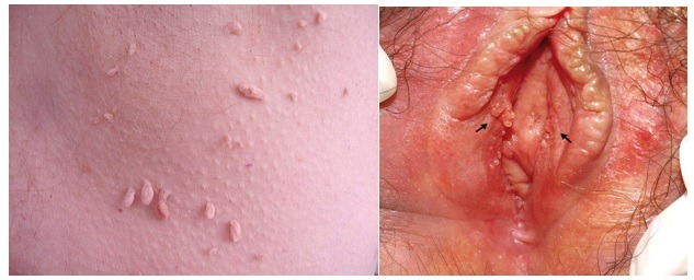
Sau khi lây nhiễm, HPV thường ủ bệnh từ 2 đến 9 tháng trước khi biểu hiện ra ngoài. Ban đầu, người bệnh có thể thấy những nốt nhỏ, mềm, màu hồng nhạt hoặc xám, mọc rải rác ở âm hộ, môi lớn, âm đạo, cổ tử cung, hậu môn hoặc quanh miệng nếu có quan hệ bằng đường miệng.
Các nốt này dần kết lại thành cụm, có hình dạng giống mào gà hoặc hoa súp lơ, sờ vào thấy ẩm ướt và dễ chảy máu nếu bị cọ xát.
Kèm theo đó có thể xuất hiện:
-
Cảm giác ngứa ngáy, rát, chảy dịch bất thường.
-
Đau khi quan hệ hoặc chảy máu nhẹ sau giao hợp.
-
Một số trường hợp có mùi hôi khó chịu hoặc viêm phụ khoa tái phát liên tục.
Ở phụ nữ mang thai, sùi mào gà có thể phát triển nhanh hơn do nội tiết thay đổi, khiến nốt sùi to, dễ vỡ và khó điều trị hơn. Nếu không can thiệp kịp thời, virus có thể lan rộng, làm tắc nghẽn âm đạo, ảnh hưởng khả năng sinh sản và tăng nguy cơ ung thư cổ tử cung.

[Tôi chưa có thời gian đi khám, cần tư vấn online]
Khi nào nên đi khám?
Phần lớn phụ nữ chỉ phát hiện bệnh khi đi khám phụ khoa định kỳ hoặc khi các nốt sùi gây vướng, đau, chảy máu. Vì vậy, nếu bạn nhận thấy bất kỳ dấu hiệu bất thường nào ở vùng kín — dù nhỏ nhất — hãy đến cơ sở y tế chuyên khoa để xét nghiệm HPV và soi vùng tổn thương. Việc phát hiện sớm không chỉ giúp điều trị hiệu quả hơn mà còn bảo vệ bạn khỏi những biến chứng nguy hiểm sau này.
Ảnh Hưởng Của Sùi Mào Gà Đến Phụ Nữ Mang Thai Và Giai Đoạn Cho Con Bú
Trong thời kỳ mang thai, cơ thể người mẹ có sự thay đổi mạnh về nội tiết tố và hệ miễn dịch, khiến sức đề kháng suy yếu hơn bình thường. Đây là điều kiện thuận lợi để virus HPV – tác nhân gây sùi mào gà – phát triển nhanh và lan rộng. Khi mắc bệnh trong thai kỳ, mẹ bầu có thể gặp phải một số rủi ro như:
-
Các nốt sùi mọc ở âm đạo hoặc cổ tử cung khiến việc sinh thường trở nên khó khăn, thậm chí cản trở quá trình chuyển dạ.
-
Nguy cơ sinh non hoặc vỡ ối sớm nếu virus gây viêm nhiễm lan rộng.
-
Khả năng lây truyền từ mẹ sang con trong quá trình sinh nở, đặc biệt khi tổn thương sùi lớn hoặc nằm gần cổ tử cung.
Dù vậy, theo các nghiên cứu y khoa, tỷ lệ lây HPV từ mẹ sang trẻ sơ sinh là rất thấp, và hầu hết trẻ sinh ra đều khỏe mạnh. Trong những trường hợp sùi mào gà phát triển mạnh hoặc có dấu hiệu lan vào đường sinh, bác sĩ có thể chỉ định sinh mổ để giảm thiểu nguy cơ lây nhiễm cho bé.

[Tôi chưa có thời gian đi khám, cần tư vấn online]
Sau khi sinh – có nên cho con bú nếu mẹ bị sùi mào gà?
Bước sang giai đoạn hậu sản, nhiều bà mẹ lo lắng không biết virus HPV có lây qua sữa mẹ hay không. Tin vui là các chuyên gia khẳng định HPV không lây truyền qua đường sữa mẹ. Vì vậy, nếu không có tổn thương ở vùng ngực hay đầu vú, mẹ vẫn có thể cho con bú hoàn toàn bình thường.
Tuy nhiên, người mẹ cần:
-
Giữ vệ sinh cá nhân sạch sẽ, đặc biệt là vùng ngực và tay trước khi tiếp xúc với trẻ.
-
Tránh để trẻ chạm vào vùng da có nốt sùi.
-
Tái khám định kỳ để theo dõi tiến triển bệnh và được hướng dẫn điều trị an toàn trong giai đoạn cho con bú.
Việc phát hiện sớm và điều trị đúng cách giúp mẹ bầu tránh được biến chứng, đồng thời vẫn bảo đảm sức khỏe cho cả mẹ và bé. Nếu nghi ngờ mắc bệnh, nên đến cơ sở y tế chuyên khoa để được tư vấn và kiểm tra bằng các phương pháp an toàn cho phụ nữ mang thai.

[Tôi chưa có thời gian đi khám, cần tư vấn online]
Mẹ Mắc Sùi Mào Gà Có Được Cho Con Bú Không? Giải Đáp Từ Bác Sĩ Chuyên Khoa
Đây là thắc mắc rất phổ biến ở những phụ nữ sau sinh mắc sùi mào gà. Nhiều mẹ lo sợ rằng virus HPV có thể “theo đường sữa” lây sang con. Tuy nhiên, theo các chuyên gia sản – nhi khoa, virus HPV không tồn tại trong sữa mẹ, bởi loại virus này chỉ cư trú trên biểu mô da và niêm mạc, chứ không xâm nhập vào hệ thống tuyến sữa.
Kết quả từ nhiều nghiên cứu tại Bệnh viện Hùng Vương, Medlatec và các trung tâm y tế lớn cho thấy không có bằng chứng khoa học nào chứng minh sùi mào gà lây qua sữa mẹ. Vì vậy, mẹ hoàn toàn có thể tiếp tục cho con bú bình thường, nếu như vùng ngực, đặc biệt là núm vú, không có tổn thương hoặc nốt sùi hở.
Những lưu ý quan trọng khi cho con bú
Để đảm bảo an toàn tuyệt đối cho trẻ, các bác sĩ khuyến nghị mẹ nên:
-
Rửa tay sạch bằng xà phòng trước khi bế hoặc cho bé bú.
-
Tránh để trẻ tiếp xúc với vùng da có sùi, đặc biệt ở khu vực ngực, cổ hoặc bụng.
-
Nếu phát hiện tổn thương sùi ở vú hoặc quầng vú, tạm dừng cho bú trực tiếp, thay vào đó vắt sữa ra bình để bé sử dụng.
-
Theo dõi sức khỏe của trẻ, nếu thấy có dấu hiệu bất thường như phát ban, viêm họng hoặc mụn nhỏ quanh miệng, nên đưa bé đi khám sớm.
-
Khi trẻ đủ tuổi (khoảng 9–26 tuổi), mẹ nên cho con tiêm vắc-xin HPV để phòng ngừa lâu dài.
Lưu ý khi mẹ đang điều trị sùi mào gà
Nếu mẹ đang trong giai đoạn điều trị, đặc biệt bằng thuốc hoặc các phương pháp như đốt điện, áp lạnh, laser… hãy trao đổi trực tiếp với bác sĩ điều trị. Một số loại thuốc bôi hoặc thuốc uống có thể ảnh hưởng đến chất lượng sữa, nên việc tự ý sử dụng là không an toàn.
Tóm lại, mẹ bị sùi mào gà vẫn có thể cho con bú, miễn là tuân thủ hướng dẫn vệ sinh, chăm sóc và điều trị đúng cách. Lợi ích của sữa mẹ vẫn vượt trội hơn bất kỳ rủi ro tiềm ẩn nào, vì đây là nguồn dinh dưỡng và kháng thể tự nhiên tốt nhất cho trẻ sơ sinh.

[Tôi chưa có thời gian đi khám, cần tư vấn online]
Phòng Ngừa Và Điều Trị Sùi Mào Gà Ở Nữ Giới – Bảo Vệ Sức Khỏe Từ Gốc
1. Làm thế nào để phòng tránh sùi mào gà?
Phòng bệnh luôn là cách hiệu quả và tiết kiệm nhất. Với phụ nữ, việc chủ động bảo vệ bản thân khỏi virus HPV là vô cùng quan trọng. Dưới đây là những biện pháp được các bác sĩ chuyên khoa khuyến nghị:
-
Quan hệ tình dục an toàn: Sử dụng bao cao su trong mọi lần quan hệ giúp giảm đáng kể nguy cơ lây nhiễm, dù không thể ngăn chặn 100%.
-
Tiêm vắc-xin HPV sớm: Các loại vắc-xin như Gardasil hoặc Cervarix giúp ngăn ngừa nhiều chủng HPV nguy hiểm. Thời điểm tiêm lý tưởng là từ 9–26 tuổi, đặc biệt trước khi có quan hệ tình dục.
-
Khám phụ khoa định kỳ: Nên kiểm tra 6–12 tháng/lần để phát hiện sớm tổn thương bất thường ở cổ tử cung hoặc âm đạo.
-
Giữ vệ sinh cá nhân sạch sẽ: Tránh dùng chung đồ lót, khăn tắm hoặc dao cạo với người khác.
-
Xây dựng lối sống lành mạnh: Ăn uống đầy đủ dinh dưỡng, hạn chế hút thuốc và rượu bia để tăng cường hệ miễn dịch, giúp cơ thể chống lại virus hiệu quả hơn.
Lời khuyên từ chuyên gia: “Hệ miễn dịch khỏe mạnh chính là hàng rào tự nhiên tốt nhất ngăn HPV bùng phát.”
2. Các phương pháp điều trị sùi mào gà hiện nay
Hiện chưa có thuốc đặc trị tiêu diệt hoàn toàn virus HPV, nhưng người bệnh hoàn toàn có thể loại bỏ các tổn thương sùi và kiểm soát bệnh bằng những phương pháp y học hiện đại:
Điều trị bằng thuốc:
Một số loại thuốc bôi như Podophyllin hoặc Imiquimod giúp phá hủy mô sùi và ngăn virus lan rộng. Phương pháp này phù hợp với trường hợp nhẹ, nốt sùi nhỏ và nằm ngoài cơ quan sinh dục.
Điều trị bằng kỹ thuật ngoại khoa:
-
Đốt điện hoặc đốt laser: Làm rụng nốt sùi nhanh chóng, hạn chế chảy máu.
-
Áp lạnh nitơ lỏng: Làm đông mô sùi, khiến tế bào nhiễm virus chết đi.
-
Công nghệ IRA (Infrared Ablation): Dùng sóng cao tần tác động chính xác vào vùng tổn thương, giúp loại bỏ virus triệt để, ít đau, phục hồi nhanh, và giảm nguy cơ tái phát – đặc biệt phù hợp cho phụ nữ.
Phẫu thuật cắt bỏ:
Áp dụng khi nốt sùi kích thước lớn hoặc đã lan sâu.
Sau điều trị, người bệnh cần tái khám định kỳ trong 6 tháng đầu để theo dõi tái phát, đồng thời bổ sung dinh dưỡng, nghỉ ngơi hợp lý và kiêng quan hệ tình dục cho đến khi hồi phục hoàn toàn.
Gợi ý từ bác sĩ: “Sùi mào gà có thể kiểm soát tốt nếu điều trị sớm và đúng phương pháp. Đừng trì hoãn, vì mỗi ngày chậm trễ là thêm một nguy cơ lây lan.”
Địa Chỉ Chữa Sùi Mào Gà Uy Tín Tại Hà Nội – Phòng Khám Đa Khoa Quốc Tế Cộng Đồng
Nếu bạn đang băn khoăn không biết khám và điều trị sùi mào gà ở đâu an toàn tại Hà Nội, thì Phòng Khám Đa Khoa Quốc Tế Cộng Đồng là lựa chọn được nhiều bệnh nhân tin tưởng trong nhiều năm qua.
Địa chỉ: 193C1 Bà Triệu, Quận Hai Bà Trưng, Hà Nội.
Phòng khám là cơ sở y tế chuyên sâu về bệnh xã hội, phụ khoa – nam khoa – hậu môn trực tràng, được Sở Y tế Hà Nội cấp phép hoạt động và giám sát thường xuyên. Với hơn 30 năm kinh nghiệm điều trị, đội ngũ bác sĩ tại đây đã hỗ trợ hàng nghìn ca sùi mào gà khỏi bệnh, phục hồi nhanh, hạn chế tái phát.
Ưu điểm nổi bật tại Phòng Khám
-
Công nghệ điều trị IRA (Infrared Ablation) tiên tiến – sử dụng sóng cao tần xâm lấn tối thiểu, loại bỏ mô sùi nhanh, ít đau, hạn chế chảy máu và tái phát thấp.
-
Kết hợp Đông – Tây y chuyên biệt: thuốc Đông y giúp thanh lọc cơ thể, tăng miễn dịch, ngăn virus hoạt động trở lại.
-
Đội ngũ bác sĩ đầu ngành: gồm các chuyên gia giàu kinh nghiệm, từng công tác tại các bệnh viện lớn ở Hà Nội.
-
Thiết bị y khoa hiện đại – môi trường vô khuẩn: đảm bảo an toàn tuyệt đối cho mọi ca thủ thuật.
-
Chi phí niêm yết công khai: có gói khám sàng lọc chỉ 200.000 đồng, kèm tư vấn miễn phí trước và sau điều trị.
-
Dịch vụ tư vấn online 24/7: người bệnh có thể trao đổi trực tiếp với bác sĩ qua hotline hoặc website chính thức để được hướng dẫn trước khi đến khám.

[Tôi chưa có thời gian đi khám, cần tư vấn online]
Theo thống kê năm 2025, hơn 96% bệnh nhân điều trị sùi mào gà tại Phòng Khám Đa Khoa Quốc Tế Cộng Đồng đánh giá hài lòng về hiệu quả và chất lượng chăm sóc.
Nếu bạn là phụ nữ đang mang thai hoặc đang cho con bú và lo lắng sùi mào gà ảnh hưởng đến bé, bác sĩ tại đây sẽ thăm khám cẩn thận, đánh giá mức độ bệnh và đưa ra phác đồ điều trị an toàn, phù hợp với từng giai đoạn.
Hãy chủ động đặt lịch thăm khám sớm để được kiểm tra, chẩn đoán và tư vấn miễn phí, giúp bảo vệ sức khỏe cho cả mẹ và bé.
Các chuyên gia sản – nhi khẳng định: mẹ mắc sùi mào gà vẫn có thể cho con bú, miễn là thực hiện đúng hướng dẫn vệ sinh và được bác sĩ theo dõi. Virus HPV chỉ tồn tại ở bề mặt niêm mạc da, không có trong tuyến sữa, nên việc cho bé bú không làm tăng nguy cơ lây nhiễm.
Tuy nhiên, để đảm bảo an toàn tuyệt đối, mẹ cần giữ vùng ngực sạch sẽ, tránh để trẻ chạm vào vị trí có tổn thương, và nên khám định kỳ để kiểm soát bệnh. Việc phát hiện sớm và điều trị kịp thời giúp ngăn biến chứng, đồng thời bảo vệ sức khỏe sinh sản về lâu dài.
Nếu bạn sinh sống tại Hà Nội và đang tìm nơi điều trị uy tín, Phòng Khám Đa Khoa Quốc Tế Cộng Đồng (193C1 Bà Triệu, Hai Bà Trưng) là địa chỉ được nhiều bệnh nhân lựa chọn. Với công nghệ IRA hiện đại, đội ngũ bác sĩ giàu kinh nghiệm và quy trình khám kín đáo, nơi đây giúp người bệnh điều trị an toàn – hiệu quả – nhanh hồi phục.
@keyframes nhapNhap{0%{transform:scale(1)}50%{transform:scale(1.05)}100%{transform:scale(1)}}








